
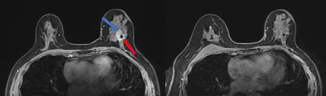
These two magnetic resonance imaging (MRI) scans were taken 10 months apart. On the left, the blue arrow points to the edge of a breast tumor, and the red arrow locates a biopsy clip, which appears as a black dot. The MRI on the right, which includes the biopsy clip, shows the tumor is gone after a single, targeted dose of radiation and antihormone therapy.
DALLAS – Nov. 17, 2025 – A single, targeted high dose of radiation delivered before other treatments could completely eradicate tumors in most women with early-stage, operable hormone-positive breast cancer, according to a study led by UT Southwestern Medical Center researchers. The findings, published in JAMA Network Open, could shift the paradigm for patients with the most common form of breast cancer, who typically undergo surgery before a regimen of radiation therapy.

Asal Rahimi, M.D., is Professor of Radiation Oncology, Associate Vice Chair for Program Development, and Medical Director of the Clinical Research Office at the Harold C. Simmons Comprehensive Cancer Center.
“This is a major advance in the field,” said study leader Asal Rahimi, M.D., Professor of Radiation Oncology, Associate Vice Chair for Program Development, and Medical Director of the Clinical Research Office at the Harold C. Simmons Comprehensive Cancer Center. “This treatment protocol provides patients a significant time savings, spares a lot of their tissue from irradiation, and allows them to still undergo any type of oncoplastic surgery they may choose, all while very effectively treating their disease.”
Like patients with other forms of cancer, those with breast cancer are typically treated with a combination of surgery to remove tumors, medications such as hormone blockers, chemotherapy, and radiation, often in that order. In addition, many patients choose to have breast reconstructive surgeries before radiation treatment.
Having targeted radiation prior to surgery has several benefits, including a more than 100-fold smaller volume of tissue being irradiated compared with whole breast radiation; one day of radiation compared with up to 6.5 weeks of radiation, creating a huge time savings for patients; and more options for patients seeking reconstructive surgery, explained Dr. Rahimi, who also serves as Chief of the Breast Radiation Oncology Service at UT Southwestern.

These UT Southwestern researchers were involved in the study of a new treatment protocol for patients with early-stage, operable hormone-positive breast cancer.
Early-stage, hormone-positive breast cancer accounts for 60%-75% of all breast cancers. Seeking a more time-efficient way to treat these patients, Dr. Rahimi and her colleagues tested a strategy in which 44 patients started treatment with a single dose of targeted radiation. While typical radiation therapy protocols call for 1.8-2.67 Gy (a measure of radiation strength) per day for 16 to 33 days, the researchers divided the study participants into three groups and gave each patient a single dose of 30, 34, or 38 Gy. The volunteers then went on hormone-blocking drugs and waited a median of 9.8 months until they underwent surgery to remove any residual tumor tissue.
In 72% of study participants, the surgeons found no residual tumor left, indicating that patients had a “pathological complete response.” An additional 21% of patients had a “near complete response,” meaning that their cancer was more than 90% eliminated.
When the researchers further analyzed the results, they found that time to surgery was the best predictor of response. The longer patients waited to undergo surgery, the more likely their tumors were to disappear, regardless of the radiation dose or tumor size. These results were probably due to the time it takes cells to die or be removed by the immune system after radiation therapy, Dr. Rahimi explained.

Marilyn Leitch, M.D., is Professor of Surgery at UT Southwestern. She holds the S.T. Harris Family Distinguished Chair in Breast Surgery, in Honor of A. Marilyn Leitch, M.D.
This new treatment protocol could hold significant advantages over the current gold standard, said Marilyn Leitch, M.D., Professor of Surgery, who holds the S.T. Harris Family Distinguished Chair in Breast Surgery, in Honor of A. Marilyn Leitch, M.D. For example, being able to wait to schedule surgery will allow patients to plan for the disruption it brings to their lives. The radiation course lasts a single day rather than weeks. Plus, in the future, this new approach may eliminate the need for surgery in some patients.
“Much of the current research in breast cancer is looking at ways to reduce the extent of surgery, radiation, and/or medical therapy that is required to completely treat early-stage breast cancer. It is very exciting to be part of innovative research that can improve the quality of life of our cancer patients and minimize the extent of treatment they require,” Dr. Leitch said.
The research team is currently enrolling patients in a phase two clinical trial called RAPS that is funded through a grant from the Cancer Prevention and Research Institute of Texas (CPRIT).
“If the results mirror the ones from this study, an initial targeted dose of radiation could become a new treatment option for patients with small, early-stage, hormone-positive breast cancer,” Dr. Leitch said.
Key collaborators involved in this study at UT Southwestern are Basak Dogan, M.D., Director of Breast Imaging Research and Professor of Radiology in the Breast Imaging Division; Prasanna Alluri, M.D., Ph.D., Assistant Professor of Radiation Oncology; and Sunati Sahoo, M.D., Professor of Pathology. A full list of contributors can be found in the published study.
Drs. Alluri, Dogan, Leitch, Rahimi, and Sahoo are members of the Simmons Cancer Center.
About UT Southwestern Medical Center
UT Southwestern, one of the nation’s premier academic medical centers, integrates pioneering biomedical research with exceptional clinical care and education. The institution’s faculty members have received six Nobel Prizes and include 24 members of the National Academy of Sciences, 25 members of the National Academy of Medicine, and 13 Howard Hughes Medical Institute Investigators. The full-time faculty of more than 3,200 is responsible for groundbreaking medical advances and is committed to translating science-driven research quickly to new clinical treatments. UT Southwestern physicians provide care in more than 80 specialties to more than 140,000 hospitalized patients, more than 360,000 emergency room cases, and oversee nearly 5.1 million outpatient visits a year.
Related Stories