
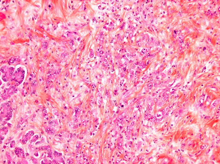
A form of pancreatic cancer (pictured) is often caused by mutations in the KRAS protein.Credit: PJD/Science Photo Library
Armed with sophisticated chemistry and fresh approaches to drug design, researchers are closing in on innovative strategies to undermine a cancer-causing mutant protein once considered to be ‘undruggable’.
Mutations in a protein called KRAS fuel some of the most lethal cancers. Designing drugs to disable KRAS has proved challenging — but this year, a field accustomed to disappointment has renewed hope. The first clinical trial of a drug that targets one form of mutant KRAS for degradation has shown signs of success1. And four large clinical trials are testing another drug that inhibits several different mutant forms of KRAS and related proteins. The first of those studies is expected to report results in the next few months.
It is unlikely that any of these approaches will, by themselves, provide a cure, says Dieter Saur, a gastroenterologist and cancer researcher at the Technical University of Munich in Germany. Instead, the hope is that they can be combined with one another or with other drugs to create a regimen that KRAS-mutant cancers cannot escape.
“It’s exciting. So many different things are going on,” says Saur. “The field has completely changed.”
On too long
KRAS belongs to the RAS family of proteins, which have key roles in cell growth and proliferation. Some KRAS mutations lock the protein in an ‘on’ position, leading to the uncontrolled cellular growth that is a hallmark of cancer.
Cancer drugs are closing in on some of the deadliest mutations
This made KRAS an appealing target for cancer drug development: find a drug that could switch it off again, the reasoning went, and it would no longer drive tumour growth. But the protein’s relatively smooth surface posed a challenge to drug developers, who typically design molecules that inhibit a protein by binding to pockets in its surface.
And when chemists finally found compounds that could bind to and disable mutant KRAS, the drugs turned out to be effective for only a short period of time. “In every patient, we see resistance developing,” says Saur. “It’s not a cure.”
That resistance came in a variety of forms, including new mutations in the KRAS protein, and activation of other cellular processes that could compensate for the loss of KRAS function2. One hope was that some of this resistance could be avoided if, instead of inhibiting mutant KRAS protein, a drug was able to get rid of it altogether.
Rubbish markers
Enter the degraders, compounds that bind to KRAS and then tether it to another protein, called an E3 ubiquitin ligase. The ligase chemically marks KRAS as cellular rubbish, leading the cell’s waste-processing machinery to break down the protein and dispose of it.
It is an intricate process to manipulate, says Kevan Shokat, a chemical biologist at the University of California, San Francisco. “The amount of complexity and gymnastics that has to happen — sometimes your protein can get degraded, sometimes it just can’t,” he says.
Even so, oncologist Wungki Park at the Memorial Sloan Kettering Cancer Center in New York City was drawn to the idea of KRAS degraders. “You can actually re-educate the cell: ‘hey, this is disposable, just remove it’”, he says.
More than one-third of cancer cases are preventable, massive study finds

