Israel News Beep
  • News Beep
  • Israel
  • Headlines
  • Business
  • Entertainment
  • Health
  • Science
  • Sports
  • Technology
Israel News Beep
Israel News Beep
  • News Beep
  • Israel
  • Headlines
  • Business
  • Entertainment
  • Health
  • Science
  • Sports
  • Technology
IIsrael
Concern that food supply for security prisoners does not meet legal stand
Read More

‘If we want real security in the north, we mu

  • April 16, 2026
Amid reports of a ceasefire in Lebanon, Head of the Upper Galilee Regional Council Amit Sofer said that…
IIsrael
Israel and Lebanon Agree to 10-Day Ceasefire, Trump Announces
Read More

Israel and Lebanon Agree to 10-Day Ceasefire, Trump Announces

  • April 16, 2026
“I have directed Vice President JD Vance and Secretary of State Rubio, together with the Chairman of the…
BBusiness
Middle East escalation pushes aluminium into a structural deficit | articles
Read More

Middle East escalation pushes aluminium into a structural deficit | articles

  • April 16, 2026
The aluminium market has moved into a significant deficit following further escalation in the Middle East. What initially…
TTechnology
It’s getting easier for Android devs to code with AI agents.
Read More

It’s getting easier for Android devs to code with AI agents.

  • April 16, 2026
Posted Apr 16, 2026 at 5:00 PM UTC It’s getting easier for Android devs to code with AI…
SScience
A meteor is pictured streaking through a starry sky above a hilly tree-lined horizon. A lake is visible at the bottom of the image, reflecting the sky above.
Read More

The Lyrid meteor shower 2026 has begun! Here’s what to expect

  • April 16, 2026
The Lyrid meteor shower has begun! Here’s what to expect as the shooting star display brightens the spring…
EEntertainment
Pink
Read More

Planned Parenthood Honors Pink at Annual ‘Spring Into Action’ Gala

  • April 16, 2026
Planned Parenthood of Greater New York hosted its annual spring gala on Wednesday evening, this year honoring singer…
HHealth
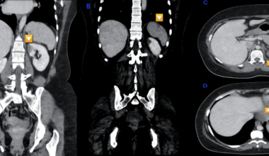
Renal and Splenic Infarctions: Unmasking Rheumatic Mitral Valve Disease in a Young Adult
Read More

Renal and Splenic Infarctions: Unmasking Rheumatic Mitral Valve Disease in a Young Adult

  • April 16, 2026
Specialty Please choose I’m not a medical professional. Allergy and Immunology Anatomy Anesthesiology Biostatistics Cardiac/Thoracic/Vascular Surgery Cardiology Critical…
SSports
LA28 procurement plan opens new opportunities for local and small businesses
Read More

LA28 procurement plan opens new opportunities for local and small businesses

  • April 16, 2026
How can businesses get involved? Procurement opportunities will be published through the Regional Alliance Marketplace for Procurement (RAMP),…
EEconomy
India Slips To Sixth In Global GDP Rank Triggering Hilarious Memes; This Nation Is Fourth Now
Read More

India Slips To Sixth In Global GDP Rank Triggering Hilarious Memes; This Nation Is Fourth Now

  • April 16, 2026
In a now-deleted tweet exchange, ex-Shark Ashneer Grover took a dig at the desis prematurely celebrating India’s tag…
PPersonal finance
Uranium Royalty, Orion and Ontario Teachers' Pension Plan to Create a Leading Royalty Platform Through Combination of Uranium Royalty and Sweetwater Royalties
Read More

Uranium Royalty, Orion and Ontario Teachers’ Pension Plan to Create a Leading Royalty Platform Through Combination of Uranium Royalty and Sweetwater Royalties

  • April 16, 2026
Uranium Royalty, Orion and Ontario Teachers’ Pension Plan to Create a Leading Royalty Platform Through Combination of Uranium…
EEntrepreneurship
station icon
Read More

Hamilton County commission discusses new business incubator plans amid tenant concerns

  • April 16, 2026
HAMILTON COUNTY, Tenn. — There are new developments in the future of the Hamilton County business incubator as…
MMobile
I tested the Moto G Stylus 2026, and it's finally starting to feel like an affordable alternative to the Galaxy S26 Ultra, but the price tag makes it a tougher sell
Read More

I tested the Moto G Stylus 2026, and it’s finally starting to feel like an affordable alternative to the Galaxy S26 Ultra, but the price tag makes it a tougher sell

  • April 16, 2026
Why you can trust Android Central Our expert reviewers spend hours testing and comparing products and services so…
Israel News Beep
www.newsbeep.com