Israel News Beep
  • News Beep
  • Israel
  • Headlines
  • Business
  • Entertainment
  • Health
  • Science
  • Sports
  • Technology
Israel News Beep
Israel News Beep
  • News Beep
  • Israel
  • Headlines
  • Business
  • Entertainment
  • Health
  • Science
  • Sports
  • Technology
EEntertainment
‘Ladies of London’ Recap Episode 8: ‘Bad Manors’
Read More

‘Ladies of London’ Recap Episode 8: ‘Bad Manors’

  • April 17, 2026
Longleat, Emma’s house in the country, which moonlights as a safari park, has absolutely everything. There’s a long…
HHealth
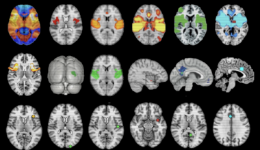
‘Overdue’ debate unfurls over neuroimaging method
Read More

‘Overdue’ debate unfurls over neuroimaging method

  • April 17, 2026
When Shan Siddiqi arrived in Australia in February to speak at the 2026 Noosa Brain Workshop, he was…
SSports
Trail Blazers Suns Basketball - The Herald Journal
Read More

Trail Blazers Suns Basketball – The Herald Journal

  • April 17, 2026
Trail Blazers Suns Basketball  The Herald JournalDeni Avdjia fuels late comeback as Blazers drop Suns in Play-In to clinch…
EEconomy
Cecile Lefort
Read More

Australian dollar rally may have gone too far, analysts warn

  • April 17, 2026
The Australian dollar has surged to a four-year high amid warnings that the rally may have gone too…
PPersonal finance
A close-up shot shows a stack of hundred-dollar bills partially covering a document titled 'Retirement Plan' which displays columns of numbers and bar graphs. In the foreground, the corner of a Social Security card is visible, showing the words 'SOCIAL SECURITY' in blue capital letters.
Read More

Social Security Benefit Cut Timeline: What Workers Today Need to Know

  • April 17, 2026
© zimmytws / Shutterstock.com Millions of older Americans rely on Social Security to…
MMobile
Android 17 Beta 3 starts adding more blur to system UI [Gallery]
Read More

Here’s everything new in Android 17 Beta 4 [Gallery]

  • April 17, 2026
Google today rolled out Android 17 Beta 4 for Pixel devices to continue the preview cycle. This is…
AArtificial intelligence
Uber's Anthropic AI Push Hits A Wall—CTO Says Budget Struggles Despite $3.4B Spend
Read More

Uber’s Anthropic AI Push Hits A Wall—CTO Says Budget Struggles Despite $3.4B Spend

  • April 17, 2026
Uber Technologies, Inc is learning the hard way that scaling AI isn’t just about speed—it’s about cost. Despite…
EEnvironment
Are we heading for ‘super El Niño’ – and what could we expect? | Climate crisis
Read More

Are we heading for ‘super El Niño’ – and what could we expect? | Climate crisis

  • April 17, 2026
There is a high likelihood that the phenomenon known as “El Niño” will emerge this summer – and…
SSpace
Image of a spherical flame in an experiment onboard the ISS. Credit - Science@NASA / Goddard Space Flight Center
Read More

The Moon Might Be More Prone To Fires

  • April 17, 2026
Engineers love a good practical challenge, especially when it comes to spaceflight. But there’s one particular challenge facing…
MMovies
promo
Read More

’80s Movies Opening Lines Quiz

  • April 17, 2026
’80s Movies Opening Lines Quiz | BuzzFeed Ready to find out how well you *really* know ’80s movies?…
TTV
The Pitt Season 2 Finale Explained — Season 3 Cast And Time Jump Confirmed
Read More

The Pitt Season 2 Finale Explained — Season 3 Cast And Time Jump Confirmed

  • April 17, 2026
TVLINE | That final conversation between Robby and Samira — where he says he thought he’d be married…
AArts and design
A collage of three photos: a person in a metallic suit stands on a volcanic landscape; a woman with braids holds her belly and looks up; a person in water holds a bunch of colorful inflatable fish balloons.
Read More

The Exceptional Winners of the Sony World Photography Awards 2026

  • April 17, 2026
The Sony World Photography Awards announced the four overall winners of its 2026 competition, including the prestigious “Photographer…
Israel News Beep
www.newsbeep.com