HHeadlines Read More Flying soon? What the jet fuel crisis means for travellers and airlinesApril 17, 2026 A looming jet fuel shortage in Europe and Asia, driven by the Iran war and closure of the…
IIsrael Read More UK welcomes 10-day Israel-Lebanon ceasefire, urges parties to ‘seize this opportunity’April 17, 2026 Burak Bir 17 April 2026•Update: 17 April 2026 The British foreign secretary on Friday “strongly” welcomed the announcement…
BBusiness Read More why even neutral and distant countries like Switzerland can’t escape the falloutApril 17, 2026 There is often a perception that geographical distance reduces vulnerability – an idea that can be particularly appealing…
TTechnology Read More Cisco, NVIDIA Push Toward AI-Driven Media Fabrics as Next Evolution of Broadcast Infrastructure – Sports Video GroupApril 17, 2026 New architecture aims to merge real-time media workflows with AI processing on a single, high-performance network As the…
SScience Read More A “lost world” beneath the North Sea was once full of forestsApril 17, 2026 New research led by the University of Warwick shows that forests were already growing across Doggerland, a now-submerged…
EEntertainment Read More Zara Larsson Steals the Spotlight in Stringy Bikini Top for New Music VideoApril 17, 2026 In the newly released music video, She Did It Again, Zara Larsson stunned in a stringy bikini top…
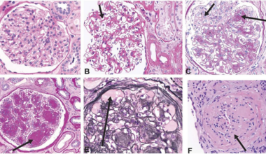
HHealth Read More Improving outcomes in diabetic kidney diseaseApril 17, 2026 Diabetic kidney disease (DKD), the leading cause of kidney failure and end-stage renal disease globally, will affect almost…
SSports Read More WorldSBKApril 17, 2026 Digging into their sophomore season back in the MOTUL FIM Superbike World Championship, Bimota have unveiled a…
EEconomy Read More EU’s employment rate grew above 76% in 2025 – News articlesApril 17, 2026 In 2025, 76.1% (197.7 million people) of the EU’s 20 to 64-year-olds were employed, the highest share recorded…
MMobile Read More Samsung tipped to use UFS 5.0 storage on select Galaxy S27 modelsApril 17, 2026 It’s only been a few months since Samsung unveiled the Galaxy S26 series, yet leaks about the company’s…
AArtificial intelligence Read More The attack on Sam Altman exposed a dark underbelly of the anti-AI movementApril 17, 2026 New York — Mainstream artificial intelligence safety groups moved quickly to distance themselves after a 20-year-old allegedly attacked the…
EEnvironment Read More China ensures stable oil supply amid global changes, demonstrating progress in new energy system: NDRC officialApril 17, 2026 A press conference on promoting the high-quality economic and social development during the 15th Five-Year Plan period (2026-30)…