New Zealand News Beep
  • News Beep
  • New Zealand
  • Headlines
  • Business
  • Entertainment
  • Health
  • Science
  • Sports
  • Technology
New Zealand News Beep
New Zealand News Beep
  • News Beep
  • New Zealand
  • Headlines
  • Business
  • Entertainment
  • Health
  • Science
  • Sports
  • Technology

Browsing Tag

New Zealand

185318 posts
NNew Zealand
Man killed outside Lower Hutt property named
Read More

Man killed outside Lower Hutt property named

  • April 14, 2026
Police investigating a homicide outside a Lower Hutt property have released the name of the person killed, and…
NNew Zealand
Muriwai landslip: Emergency services respond to Domain Cres slip
Read More

Muriwai landslip: Emergency services respond to Domain Cres slip

  • April 14, 2026
A reporter on the scene said the slip had partially exposed the base of a power pole. Vector…
TTechnology
Oris at Watches and Wonders 2026: The Star is Reborn and the Artelier Complication returns
Read More

Oris at Watches and Wonders 2026: The Star is Reborn and the Artelier Complication returns

  • April 14, 2026
  Oris never fails to surprise when it comes to its annual Watches & Wonders release schedule —…
HHealth
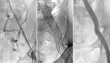
Simple stent procedure can treat post-thrombotic syndrome • healthcare-in-europe.com
Read More

Simple stent procedure can treat post-thrombotic syndrome • healthcare-in-europe.com

  • April 14, 2026
Post-thrombotic syndrome […] has been undertreated, in part because there have not been evidence-based options available. This study…
SSports
Iran football captain Zahra Ghanbari gets seized assets back after Australia asylum bid
Read More

Iran football captain Zahra Ghanbari gets seized assets back after Australia asylum bid

  • April 14, 2026
The announcement came two days after Iranian media published a list of people they called “traitors” whose assets…
EEconomy
Why rising house prices are a bad thing
Read More

Kiwibank economists warn against ‘reckless’ rate hikes

  • April 14, 2026
Photo: RNZ Kiwibank says rate hikes would be “reckless” ANZ forecasts three rate hikes this year The RBNZ…
MMobile
New Lenovo Legion gaming phone is launching next month with Moto looks
Read More

New Lenovo Legion gaming phone is launching next month with Moto looks

  • April 14, 2026
Lenovo is back in the game – the Legion smartphone game, that is. The Y70 was the last…
AArtificial intelligence
Why the AI Stagnation Just Ended
Read More

Why the AI Stagnation Just Ended

  • April 14, 2026
Anyone who has been on Wall Street long enough understands that investors hate uncertainty. Although artificial intelligence is…
EEnvironment
Le Monde
Read More

Accès restreint – Le Monde

  • April 14, 2026
Si vous êtes partenaire autorisé, abonné au Monde, ou si vous souhaitez obtenir une autorisation d’accès à ce…
SSpace
Super Typhoon Sinlaku - NASA Science
Read More

Super Typhoon Sinlaku – NASA Science

  • April 14, 2026
In mid-April 2026, a powerful typhoon bore down on the Mariana Islands in the North Pacific Ocean. The…
WWildlife
Colombia approves plan to cull roaming hippos linked to Pablo Escobar
Read More

Colombia approves plan to cull roaming hippos linked to Pablo Escobar

  • April 14, 2026
Colombian officials authorised a plan to cull dozens of hippos roaming freely through a region in the centre…
MMovies
'Spider-Verse' and 'Social Reckoning' Steal Sony's CinemaCon Show
Read More

‘Spider-Verse’ and ‘Social Reckoning’ Steal Sony’s CinemaCon Show

  • April 14, 2026
Sony always gets the distinction of kicking off CinemaCon on opening night because it is a studio without…
New Zealand News Beep
www.newsbeep.com