Women on a widely–used contraceptive jab are three–and–a–half times more likely to suffer a potentially–fatal brain tumour, a study shows.

It’s the third major investigation in just over a year to show the jab raises the risk of a meningioma, the most common type of tumour in the brain, in those on it for 12 months or more.

Around 10,000 prescriptions a month are issued for medroxyprogesterone acetate— sold under the brand name Depo Provera—in England alone.

Hundreds of women in the UK are now reported to be considering legal action against the manufacturer Pfizer, for not warning them of the risks.

A class action is already underway against Pfizer and other generic manufacturers of the jab in the US, where more than 500 women allege the companies were aware of the link but failed to adequately warn users of the risks or promote safer alternatives.

The drug is a hormone injection give every three months and works by preventing eggs from being released by a woman’s ovaries.

It was first licensed for use on the NHS as a contraceptive over 40 years ago.

But a 2024 study in the British Medical Journal of more than 18,000 women, by a team of scientists from the French National Agency for Medicines and Health Products Safety, concluded those who stayed on it for at least a year were up to five times more at risk of a meningioma.

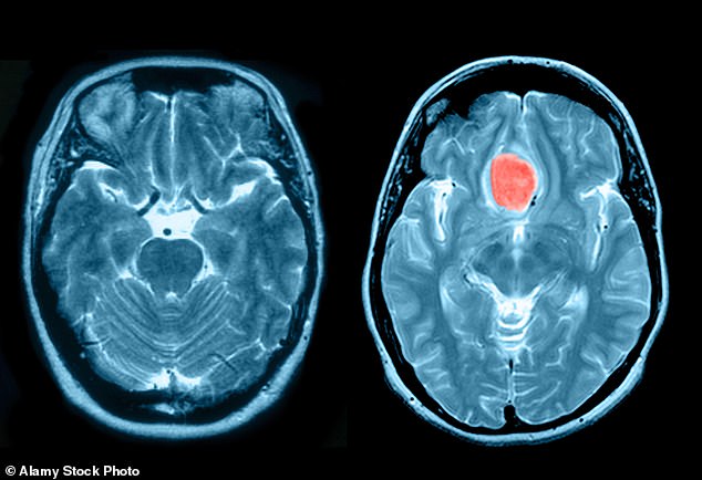
Meningioma is the most common type of brain tumour, and is most found in women

Meningioma is the most common type of brain tumour, and is most found in women

The jab is administered every three months in a doctor's surgery or sexual health clinic

The jab is administered every three months in a doctor’s surgery or sexual health clinic

A second probe in September last year, by researchers at the University of Alabama in the US, produced similar results.

Although non–cancerous, the condition can cause blurred vision, headaches, hearing loss, poor sense of smell and problems with swallowing. Tumours are normally slow–growing but can kill by compressing the brain and nerves if they grow too big.

Between 2,000 and 3,000 people a year in the UK are diagnosed with a meningioma and it’s more common in women.

In the latest study, scientists at the University of British Columbia in Vancouver, Canada, compared meningioma rates in 72,181 women on the jab with more than 247,000 women on oral contraception.

The results, in the journal Expert Opinion on Drug Safety, showed the risks were more than trebled in long–term users of the jab.

Researcher Dr Mahyar Etminan said the dangers did not appear to increase the more years women spent on the drug.

But he added: ‘I do believe the evidence is now robust, with three large studies showing pretty much the same thing.

‘Women concerned about this risk may want to consider opting for alternative contraceptives.’

It is estimated  there are 10,000 prescriptions for the jab issued in England each month

It is estimated  there are 10,000 prescriptions for the jab issued in England each month 

It’s not clear why the jab triggers tumour growth.

One theory is the synthetic hormone it uses – progestogen – binds to meningioma cells and helps them grow.

Some research suggests certain versions of the Pill made with progestogen can also heighten the risk of meningioma but only in a small proportion of women who take it for more than five years.

The UK drug safety watchdog—the Medicines and Healthcare Products Regulatory Agency—last October called on Pfizer to include a warning about the heightened risk in patient information leaflets.

Pfizer also wrote to NHS doctors urging them to immediately stop women from using Depo Provera if they were diagnosed with a meningioma.

Virginia Buchanan, partner at Levin Papantonio—the law firm handling the case in the US—said: ‘This new study reinforces the need for legal action against Pfizer, with the hope of bringing justice for the women who have never been warned about the increased risk of developing a brain tumour from using Depo–Provera and who have gone on to develop meningiomas.’

Pfizer declined to comment.