Since the 2010s, breakthroughs in AI have prompted discussion about their implications for work, including a possible “workless” future. Those forecasted to face replacement are no longer only the lower-skilled, but also professionals, once viewed as impervious to technological automation.
Across all job sectors, from accountants, to journalists and lawyers, it’s argued that current professional working practices may no longer be needed or wanted.
There is no better example than medical imaging, one of the fastest-growing domains by demand in healthcare. Extensive research has reported AI models that can diagnose with an accuracy equivalent to healthcare professionals.
The commercialisation of imaging AI models is also fierce: between 1995 and 2024, 950 AI products were authorised by the US Food and Drug Administration, among which 723 were imaging-related. Of these 723, 690 were authorised between 2016 and 2024, compared with only 33 over 20 years from 1995 to 2015.

AI has long been discussed as a threat to jobs and livelihoods. But what’s the reality? In this new series, we explore the impact it is already having on different occupations – and how people really feel about their AI assistants.
The pace of innovation has provoked intense debates about the impact on healthcare professionals, particularly radiologists – doctors specialised in medical imaging. In 2016, Nobel laureate Geoffrey Hinton argued that people should stop training radiologists altogether as AI would outperform them by 2021. This hasn’t happened as yet. Others see AI functioning as an autopilot, deployed to help alongside radiologists.
I wanted to understand how and why AI products are developed, adopted, and used, and what the implications are for professionals. It led me to investigate two use cases in the NHS and to hear directly from radiologists and related health professionals.
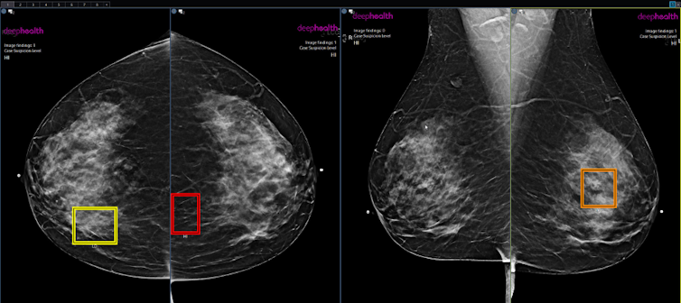
Detecting breast and brain abnormalities
The AI products I looked at are designed to detect abnormalities such as tumours or vessel blockages on breast X-rays and brain CT scans, which are crucial indications for breast cancer and stroke.
Although the breast X-rays AI is intended to automate image analysis, in reality, both are only used to support decisions made by consultant-level professionals. This is partly because current UK regulations block automation due to a lack of high-quality evidence supporting its effectiveness.
Demonstration of AI models detecting tumours on breast X-rays.
Radiological Society of North America
Demonstration of AI models detecting vessel occlusion on brain CT scans.
Frontiers in Neurology
When using AI, professionals are not so impressed with its performance either. While hospital auditing can suggest AI accuracy might be better than professionals’ perceptions, AI results often contradict judgements they believe to be correct. Without further analysis of which represents the “reality” better, we can only say that AI’s analysis can differ from that of a human.
The AI is theoretically useful, but actually in practice … I found it not as accurate as, or doesn’t necessarily correlate with, what my analysis would be (Dr A, consultant neuroradiologist).
[An image]… comes through, where [AI] has clearly interpreted bone, which is white on CT, as being blood, which is also white on CT (Dr D, consultant stroke physician).
Professionals can tell when AI is making mistakes in most cases, but they can also be biased – not only against but in favour of AI, regardless of whose analysis is better. Being selective about AI outcomes is becoming a crucial new skill in itself for professionals.
… it’s very easy to look at that [the pictures] face value and say, ‘OK, this is what it’s telling me, and therefore this is correct’.
… but you need to be able to selectively choose what is relevant, and that is a skill in itself – not to get overwhelmed by the information that you’re given and to know what is relevant (Dr A, consultant neuroradiologist).
As decision-supporting tools, AI doesn’t currently replace any tasks that professionals have been doing, though it does augment practices in certain ways.
When it [AI] picks up any abnormalities, it makes us think twice, basically to make sure that that area is either abnormal or not abnormal (Dr S, consultant stroke physician).
Sometimes I have missed very small areas, for example, and the AI has picked it up (Dr J, consultant stroke physician).
Yuxuan Wu presents her work at University of Birmingham 2025 Three Minute Thesis competition.
Reducing the workload
Considering the pace of AI improvement and an increasing number of trials, automation is possible, but mostly likely to be at a task-level, which can reduce the workload of image analysis for radiologists. Given a current workforce shortage, this would ease training and recruitment pressure, rather than creating redundancies.
We’re so grossly understaffed in the UK for radiology that, I don’t think we need a reduction [of radiologists]. We probably don’t need a huge amount more [radiologists], because the diagnostic work will slowly drop off (Dr D, consultant stroke physician).
The potential automation of image analysis could also be beneficial for interventional radiology, which uses real-time imaging techniques to guide live procedures such as tumour removal and emergency treatments such as blood clot removal during stroke.
[AI] is very useful for streamlining the workload for stroke intervention, and also for aneurysm work (Dr L, consultant interventional neuroradiologist).
However, by altering the type and number of images professionals analyse annually, task-level automation could pose challenges for professionals in acquiring and retaining skills, which are still needed for more complex tasks.
That’s a big worry … If AI does all the easy stuff, you don’t know what normal looks like anymore, and that becomes difficult, because you should be trained on what’s normal, or a combination of both [normal and abnormal] .
If AI automates half the analysis, you become less good at assessing, because you’re not seeing so many and not so familiar with the bigger range (Dr J, consultant breast radiologist).
The intertwining, non-linear relationship between medical imaging work and AI observed in my research mirrors situations in other sectors. Early findings from sectors such as accounting, finance and manufacturing show that, instead of mass replacement, the structure and practices of work are changing with AI at a pace and intensity that is much gentler than many predicted. Not only is there a lack of evidence supporting a net job loss due to AI, but benefits such as efficiencies or perceived workload reductions, were also found to be strongest with moderate AI use, than non-or-excessive use, in this pre-print study.
If automation intensifies, there might be more dramatic implications. However, this is not inevitable. Some organisations have pulled back from automation, for example, the drop of Grab-and-Go technology in Amazon grocery stores, due to cost and integration issues.
More research is needed to fully understand the future of work, but for now, apocalyptic predictions about professions in an AI era seem to be still some way off.
Yuxuan Wu is the Editor’s Choice award winner in Vitae’s 2025 Three Minute Thesis competition sponsored by The Conversation UK.

