NEED TO KNOW
Edd Vieira’s toothache revealed that he had a tumor that had “eaten through the bone in his face”
The 42-year-old was diagnosed with an aggressive cancer in October 2025 and is currently undergoing treatment
Vieira urges others to take minor symptoms seriously, saying early detection could prevent worse outcomes
A 42-year-old man is sharing how a toothache led to a devastating cancer diagnosis, urging others to take even minor symptoms seriously.
In August 2025, Edd Vieira, an engineer from Northamptonshire, England, was on vacation visiting his family in Portugal when he started feeling a “dull ache” on his left canine tooth. Days later, the aching spread to his front and other left teeth, and his teeth even started “wobbling.”
“I expected it to be a cavity or something, get a filling and be done with it,” he told Kennedy News & Media, via The Mirror.
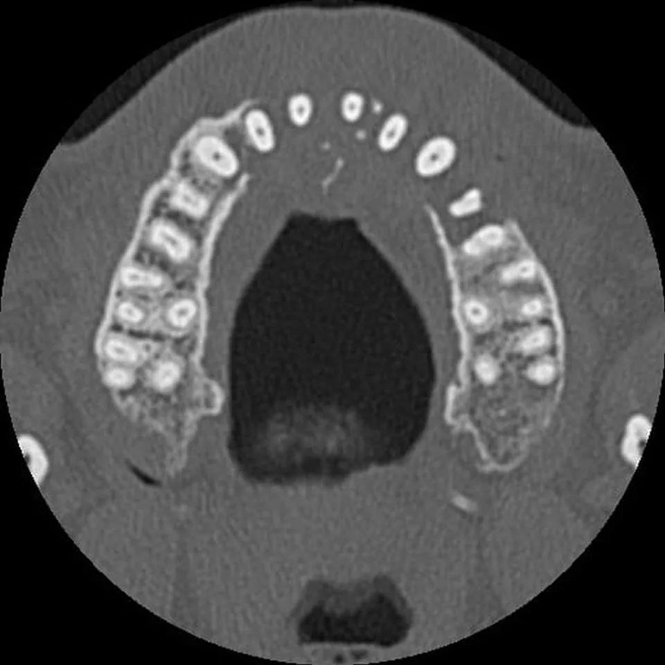
After returning home, Vieira visited his local dentist. The dentist took X-rays of his teeth as a part of standard protocol, but was immediately stunned when viewing his scans.
“The scan revealed a large mass inside the front left of his face, and surrounding bone had disappeared,” his wife Mandy, 44, said in a GoFundMe post.

Edd Vieira’s scans
Credit: Kennedy News & Media
Vieira’s dentist ordered an urgent CT scan and biopsy, which revealed a large tumor. And in October 2025, Vieira was diagnosed with stage 2 diffuse large B-cell lymphoma, an aggressive form of cancer. Diffuse large B-cell lymphoma (DLBCL) is a type of cancer that occurs in white blood cells and can form tumors throughout the body, according to the Mayo Clinic. It is one of the most common subtypes of Non-Hodgkin’s lymphoma.
“The tumor had eaten through the bone in his face, and was inoperable,” Mandy said.
Vieira admitted that cancer was the last thing he expected. However, after his diagnosis he soon realized that his toothache wasn’t the only symptom he was experiencing.
“I couldn’t blow my nose because it would hurt, and I felt a small hard lump by my right-side nostril which I thought maybe was normal,” he said. “I wasn’t looking for lumps, so it wasn’t until after diagnosis that I realized it was linked.”

Edd Vieira at the dentist
Credit: Kennedy News & Media
“When the doctor told me it was cancer, it felt unexpected, but something that I saw as a problem that we needed to resolve,” he continued. “So, in my usual way of dealing with life, if there’s a problem, we fix it. That’s maybe the mechanical engineer in me talking.”
Mandy added that her husband has always been a “picture of fine health” and the diagnosis “came out of nowhere.”
“I was just in shock,” she told the outlet. “I was crying. I was just in tears and Edd was really positive so he kind of just took everything in his stride and he was like, ‘Ok we will deal with this.’ We were both in shock.”
In early December, Vieira started chemotherapy and is expecting to undergo six rounds.

Edd Vieira and his wife Mandy
Credit: Kennedy News & Media
However, his wife shared an update on GoFundMe on Feb. 26 and said that his treatment has been put on hold after four rounds because his body has been struggling to handle the side effects.
“He is suffering from peripheral neuropathy, severe nausea, sleepless nights, headaches, stomach pain (“chemo belly”), breathlessness, a weakened immune system and such extreme fatigue that some days he can barely walk around the block,” she said. “He has pushed himself on days when he feels absolutely awful, in pain, nauseous, breathless and exhausted. But there have also been many days where he has had no choice but to rest.”
The PEOPLE Puzzler crossword is here! How quickly can you solve it? Play now!

Edd Vieira
Credit: Kennedy News & Media
Never miss a story — sign up for PEOPLE’s free daily newsletter to stay up-to-date on the best of what PEOPLE has to offer, from celebrity news to compelling human interest stories.
As he hopes to continue treatment, Vieira urges others to never ignore even minor symptoms like tooth pain.
“If I left the toothache, matters would have got worse and the cancer would have spread further,” he said. “I also think I probably would have lost my teeth. The cancer had already moved into my neck, I daren’t think how much worse it might have become.”
“Don’t ever ignore a toothache, regardless of how small it is,” he added. “You never know what’s hiding behind it.”
Read the original article on People